
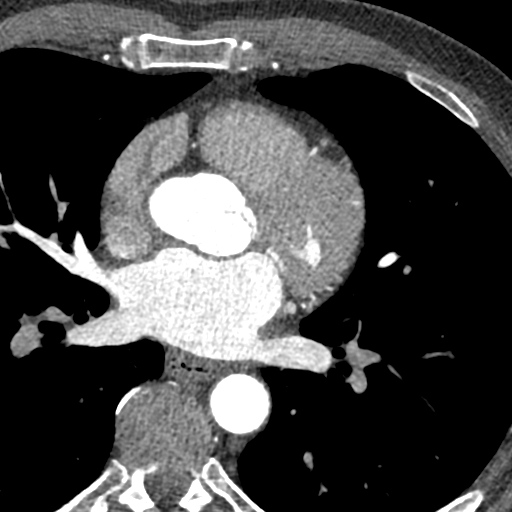
As I mentioned in my prior post there seemed to be a new issue, and the constant scans I have been undertaking over years are a blessing. In 2016 they picked up something out of the ordinary with my celiac trunk*. I needed this like a hole in the head! We let it be for a few years as we had bigger issues to deal with.
However, before I trotted off to chemotherapy we needed some answers. Finally I caught a break, despite the findings the cardiologists recommended: “We discussed the natural history of segmental arterial medial lysis and the finding that this is typically a very low risk recurrence disease. Management would be focused around continued heart healthy lifestyle choices such as daily exercise, heart healthy dietary choices, and adequate sleep. Beyond this, I do not think any further intervention is warranted other than observation.“
Enjoy my 23rd Poem: 23. May 19 2021. The Cardiologists
*The celiac artery, also known as the celiac axis or celiac trunk, is a major splanchnic artery in the abdominal cavity supplying the foregut. It arises from the abdominal aorta and commonly gives rise to three branches: left gastric artery, splenic artery, and common hepatic artery.




Leave a comment