Update September 2025. I don’t add to this anymore, but please do have a read. Bottom Line: I am in remission, but only because I take drugs that are effective in “starving” the cancer, for now. Life is good, I am still alive
1. 2008 The Diagnosis
2008 49 years young 49 years old.
Have a physical! I will not be told.
I am young healthy and fit.
I’m not sick not even a tiny bit
Digital exam does not feel right
PSA test causes massive fright
22 is five times more
Spirit sagged onto the floor
How could this happen to me?
Jose is mister “fit and healthy”
Is this punishment, if so for what?
Hold on Jose don’t lose the plot
Next step I’m told is a biopsy
I need this done immediately
Find the cause of the alert
A horror story to avert

- Dr Andriani
Dr Rudy Andriani the urologist
He’s the next one on my list.
Local here in Stamford CT
That is who I need to see.
Seems he’s seen this game before
Wait, what is that in his drawer?
Spring-loaded needle for the rectal wall
No anesthetic in sight at all
Andriani had a tool
E-I-E-I-Ouch
Lift your arse up off that couch
E-I-E-I-Ouch
Here he comes he ain’t no slouch
E-I-E-I-Ouch
Hurts like hell yes I can vouch
E-I-E-I-Ouch
Next day telephone begins to ring
Wonder what the news will bring
“I’m sorry you have prostate cancer”
I very quickly got my answer

- Making Sense of The News
As soon as cancer had begun
I hit the road began to run
My usual run through Old Greenwich
Tears free flowed life is a bitch
My head is spinning very fast
How long would this cancer last?
Can I mount a decent fight?
Would it turn out just alright?
Kimberly’s just turned 40
We have plans for us to be
This is shocking this is wrong
We just have to be so strong
Questions come from everywhere
This is simply just not fair
Will I live or will I die
How will all of us get by?

- The Fight Begins
Research starts to figure out
Which approach is the best route
To cut the evil out inside
So many options identified.
Open, laparoscopic, robotic
Surgery that sounds exotic
Problem is there’s nerves real close
Be careful lest your manhood goes
Robotic radical prostatectomy what a term
Saying it just makes you squirm
Seems it is the way to go
Now to find the best damn pro
Paul my friend has just been through
The same procedure I am about to
Dr Samadi Mt Sinai New York
Robot MD with knife and fork

- It’s Up to You New York
Off to New York to see the doc
Time is ticking on the clock
Many seem to recommend
He as savior, man’s best friend
“My robot will cut it out”
“Of that there is just no doubt”
It’s the way to use the knife
Maintain your quality of life
Minimize incontinence
Minimize impotence
A snip here and a snip there
“I will take the utmost care”
The deal is done the date is set
Three months have passed since the onset
Now to wait for the big day
The evil to be cut away

6. The Surgery
November twelve two thousand and eight
Time has come I have a date
Horizontal on a gurney
Setting off a dreamy journey
Three hours later I awake
Floating in a foggy lake
Doctors and nurses scurry about
Stopping by to check me out.
Stay in hospital for just a night
Robot makes the surgery light
Next morning home by car
Catheter attached it’s quite bizarre
Practice Kegels strengthen functions
Lest you have serious malfunctions
When you fart then you can eat
It took a day before the bleat


- Early 2009 Post Surgery
Surgical pathology spouts out jargon
Involved right lateral surgical margin
“I got all out that I could see,
But the right side was a bit sticky”
Lymph nodes were reported fine.
At least some news that had a shine
And the waterworks they seem alright
No need to add that to my plight
As for manhood time will tell
If that received its own death knell
“Here’s a prescription for Viagra”
Keep the blood flowing like Niagara
But PSA did not zero out
Complete success seemed in doubt
I left the doctor’s without clarity
Of what would be in store for me

- March – April 2009 The Next Phase
Biochemical failure’s the term
Predesigned to make me squirm
PSA just won’t go away
Local residual cancer in play
Dr Masino will take care of me
At Stamford Hospital in CT
42 Fractions of pelvic radiation
6MV doses provide the vibration
I ride my Fatboy to the hospital
The roar of my pipes prepare me a little
Through March and through April day after day
Pelvis was fried by a very large ray
The nurses were fun and part of the service
Pink Floyd in my ears to make me less nervous
In time it was over results TBA
Nothing to do but to wait and to pray

- It Didn’t Work! Mid 2009 – Mid 2012
The next two years brought no clarity
To what was going on inside of me
My PSA continued to rise
Right before my very eyes.
The radiation did not kill
The evils cells it tried to grill
Instead it fried my nether portions
From X-rays sent in great proportions
Side effects were mostly bearable
Long term would they turn out terrible?
For now the impact was distressing
Being in a state of guessing.
Now we need another doc
Time is ticking on the clock
Dr. Cohen the oncologist
He’s the next one on my list
- September 2012 – November 2012 Attack the Testosterone!
By now I had more than enough
PSA doubled every 4 to 5 months
Kill my testosterone is the answer
For the fuel that feeds my cancer
The plan was when we got to 10
Androgen blockade would kick in then
At 11.7 we pulled the pin
Let’s see if we can score a win.
Trelstar and Casodex are the ones
The drugs we had to use as guns
To lower androgens in my testes
And lop off the cancer at the knees
By November we began to see progress
From the treatment’s full court press
PSA took an enormous dive
From almost twelve to below point 5


- Living with Androgen Deprivation November 2012 – September 2013
Although my PSA abated
I’d been chemically castrated
And knowing what was future lurking
Treatment would in time stop working
I was no longer man virile
I was physically fragile
My strength disappeared into thin air
I hobbled here I hobbled there.
Hot flashes and weight gain
Swelling tenderness and pain
Drowsiness or dizziness may occur
Lots of side effects to confer
Don’t say much don’t raise an eye
Just look good and act real spry
No one needs to really know
Another gloomy tale of woe
- September 2013 Enter Mayo Clinic
In September of twenty thirteen
I went to visit the Mayo machine
I was going to Mayo purely on business
Maybe as well they can look at my sickness
I needed the help of the Mayo dominion
I needed to get another opinion
They bent over backwards to get me to see
Dr Eugene Kwon in urology
“Why are we throwing a wet blanket on?”
This treatment will not make the cancer be gone
You are too young for hormone therapy
Let’s stop it all now and find where it be.
A Choline C-11 PET scan is the way
To light up the evil and show where it lay
Then we can make up a much better plan
I felt a relief from this one cool wise man


- The Waiting Game – September 2013 – August 2015
The next two years were uneventful
As we played the waiting game
The waiting didn’t make me mental
An opportunity to reframe
Bid farewell to hormone therapy
Be at peace and meditate
Enjoy return of my virility
Live to influence my fate
3 monthly blood tests for insight
Collect a sample seal the flap
Back to Mayo overnight
24 hours later check my app
The first four tests returned a zero
Residual treatment kept it at bay
Mayo Clinic was very thorough
By August PSA is back in play
- August 2016 – My First PET Scan
By August of twenty sixteen
My PSA had climbed to 2.9
Now perhaps a scan will glean
Where the cancer’s drawn the line
Positron Emission Tomography
With radioactive tracer of choline
Will map my body’s core geography
Where absorbed it will be seen
I lay upon a bed machine
An IV ready in my arm
The nurse injects C-11 choline
Machine it spins there’s no alarm
20 minutes in my cylindrical cell
No uptake in the prostate bed
No skeletal uptake as well
Come back in December instead.
Yes that’s me in the pic


- December 2016 Second Scan Does the Job
Four months later back again
PSA had climbed to six
Scan away but not in vain
C- 11 now has a fix
Clear evidence of cancer relapse
Retroperitoneal lymph nodes
Now we can at last perhaps
Apply all Mayo’s power lodes
A two-pronged plan was put in place
Back to androgen deprivation
Starve the cancer of any trace
Pelvic lymph node irradiation
Dr. Davis of high notability
Is my radiation oncologist
At Mayo’s Jacobsen facility
A proton beam technologist
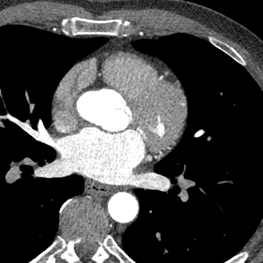
Scan shows the evil glowing red. A horizontal “slice” of my midsection
- Jan – Apr 2017: Preparation for Radiation Round 2
The next two months were preparation
Work with insurance and Mayo too
For the proton beam irradiation
So many many things to do
First there is the Lupron Injection
To give the cancer docility
Back to androgen deprivation
Back to loss of virility
Quick trip to Mayo for simulation
The isocenter now we’ve got
Plan is coming to formation
Hip tattoos the starting spot
Now to find a spot to stay
Rochester MN is the place
It will be a holiday
For six weeks it will be my base


- Late April 2017 – Mayo Or Bust: Cross Country
Decided that we’d go by car
So Benny would accompany me
Even though it’s very far
Adventure looms across country
We packed the slim Golf GTI
With all that’s needed for the drive
Benny, Kimberly and I
Stuff for 6 weeks to survive
Three days with 8 hour stints
Atlanta and St Louis overnight
Kimberly provides navigation hints
Through seven states amazing sights
Benny loved the Hyatt Suites
Where we rested overnight
One more day in the back seat
We got to Rochester by twilight
- May and June 2017 – Proton Beam Therapy
Monday to Friday for five weeks
The Jacobsen Center beckons me
Anticipating the techniques
From pinpoint proton accuracy
One by one we’re ushered in
We choose a blue gown of our size
Young and old we’re all akin
Technicians then do organize
“We have the beam” that signifies
The Hitachi beast will draw its power
A clicking sound it amplifies
It’s over in just half an hour
Five weeks later it’s complete
No side effects that I can tell
Rejoice the ritual of my feat
Say a prayer and ring the bell


19: June 2017 – January 2020 – Here We Go Again
Proton therapy now complete
Leave in car with tires squealing
Is the cancer in retreat
I just had a funny feeling
The next two years as expected
Four more PET Scans and MRIs
I did all that the doctors directed
PSA now was starting to rise
Hormone therapy now was done
More surprises were in store
A tiny kidney lesion just for fun
Keep that in the bottom drawer
January 20 it overloads
PSA 9 it makes me squirm
Suspect para aortic lymph nodes
Biopsy ordered to confirm
- February 20 – August 20: Treatment In the Middle Of A Pandemic
Feb to Mayo for biopsy
As pandemic hits our shore
Accompanied by the Kimberly
No idea what’s in store
Biopsy is as expected
Metastatic prostate adenocarcinoma.
Now to treat the area affected
I feel like I’m in a semi coma
Hormone therapy it seems
June is round of simulation
15 shots of Proton beams
Will this lead to my salvation
Found an AirBNB to stay
For the three week duration
Kimberly will come midway
A little summer type vacation


- April 2021: The Horror Just Gets Worse
Back at Mayo for my scans
Since the proton beams were shot
See if there’s a change of plans
See if we have stopped the rot
Instead PSA was one point eight
Possible lesion on my rib
Celiac trunk’s not looking great
Kidney lesion grew a nib
There’s so much uncertainty
Hormone therapy’s lost it’s bite
PET scan couldn’t clearly see
Other stuff is cause for fright
In four weeks time please do return
Run a PSMA scan to view
And an angiogram to learn
See the kidney doctor too
- May 12, 2021: The Sucker Punch
After 13 years of grief
I got the biggest sucker punch
Listening to the longest brief
New metastases there’s a bunch
Multiple lesions in the thorax
Paraesophageal lymph nodes too
Add the 8th rib to its tracks,
On T10 vertebral body it grew
Small but widely disseminated
Metastatic lesions above diaphragm.
Wind is gone I am deflated
It just keeps coming damn DAMN
Radiation for the ribs and spine
And cytotoxic chemotherapy
I really need some help divine
This is going terribly

23. May 18, 2021 – Zapped Again


By now this was getting old
Constant therapy different sorts
But I did what I was sold
Then await the medical reports
I laid upon the metal tray
And in my personalized mold
The air was all but sucked away
Vacuum packed temperature controlled
The machine it whirred upon its mission
Radiotherapy to spine and rib
2000 centigrays to each lesion
As I laid tight in my crib
40 minutes and it’s over
Did it kill the evil mass?
Back home felt like a hangover
This time it really kicked my ass

- May 19 2021. The Cardiologists
To add to the saga of cancer
Something else appeared in the scans
Something that needed an answer
Something that could derail our plans
It was first seen in 2016
Did not seem to be a big threat
Now it was time for a screen
For me it just added more sweat
A two cardiologist inspection
With CT Scan imagism
Proximal celiac artery dissection
With a 1.3 cm aneurysm
But finally here was a break
I was under no imminent danger
My heart was in really good shape
This was really no big game changer
- June 16 – September 29 2021: Chemotherapy
Six infusions known as cycles
A new experience to savor
Drugs extracted from tree bark
Killing cancer killing flavor
A new look soon emerged
Confined to mostly staying in
The chemotherapy it scourged
Vicious ruthless unrelenting
Side affects began to show
Attack you hard down to the core
Very soon I got to know
What was going to be in store
100 days and it was done
I responded very well
A new battle in the war was won
November scans will surely tell


- November 10 – 11 2021: Post Chemotherapy
Chemotherapy’s been and gone
Time to test and make a call
Off to see the Doctor Kwon
Mayo Clinic in the Fall.
First stop blood test PSA
Next the usual PET Scan
CT Angiogram completes the day
Next day’s set to see wise man
Kidney lesion’s shrunk a tad
PSA is point two three
Angiogram shows nothing bad
PET Scan causes mucho glee
Next step is a net new drug
Take Zytiga for a year
Keep the PSA nice and smug
Scan in 3 months hope all clear
27. An Update for 2024
Here we are some three years on
Things are in a status quo
A cure I have not come upon
Just suppress with drug combo
Rid my body of testosterone
Steroids mask the side effects
Bruises now I am so prone
Such a pity so complex
And then there was a little scare
In November of 23
Spot on T9 not elsewhere
Radiation did kill thee
All’s been clear since that day
Back to Mayo in July
The typical scanning buffet
More to come please standby

28. December 2024 – Regular Tests and Scans

December twenty twenty four
Back to Rochester back for more
It’s cold It’s minus two degrees
For a change I like the freeze
Scans show nothing evil lurking
The drugs they definitely are working
Side effects continue on
Joints are sore and no hard on
There is a little pancreatic cyst
We have been watching it’s not missed
It’s grown a few millimeters more
Watching to make sure I’m not done for
In 2025 a change in treatment
Will be moving to intermittent
In the cancer drugs I take
Perhaps it will relieve the ache

January 2025 – Into the Unknown
After 1118 days on Androgen Deprivation Therapy, my doctors have allowed me to take a holiday! I stopped taking them this week, along with the accompanying steroids to give me a better quality of life. the road ahead is paved, with the odd pothole here and there, perilous and quietly optimistic. another journey. Que sera…………..
Another journey now commences
It will touch all my senses
Employ my newfound stoic strength
To keep the cancer at arm’s length
The outcome is not guaranteed
Who knows, it may still quietly breed
Constant and regular scanning will
Keep a close eye on it, that’s the drill
Eighteen years have shaped my path,
And with my love, I’ve learned to last.
Together we’ve weathered each storm’s rage,
Accepting what life’s trials engage.
Through this time, I’ve learned to see,
What my true ambitions come to be:
To face what fate might still bestow,
And catch the curveballs life will throw.
Now if it returns it’s a minor blow
Back to the drugs, “Do not pass go”
And carry on as I have done
Wear that smile for everyone
(and for me too 😀)



